NANOSNET

 View Only
Expand all | Collapse all

Osteopetrosis

  • 1.  Osteopetrosis

    Posted 02-27-2026 16:34

    Dear experts,

     

    I am going to see a child next week with a history of osteopetrosis. She was diagnosed at 3 months due to a bulging fontanelle, vomiting and seizure. She was found to have hypocalcemia and hypophosphatemia. At that time, her eye exam was normal with no optic disc pallor or edema. Two months later, she developed nystagmus and subtle optic disc pallor, and underwent placement of a VP shunt for hydrocephalus. She had a bone marrow transplant at age 8 months. By age 16 months, she was no longer able to maintain fixation with her right eye, and had a constant right esotropia. At 2.5 years, visual acuity was 20/640 in the right and 20/30 in the left with bilateral optic disc pallor, right worse than left. At age 7, visual acuity was 20/800 in the right and 20/20 in the left. MRI had consistently shown slit like ventricles, mild Chiari and VP shunt in situ, and she was discharged.

    In Jan of this year, at age 9, she was referred back because of vision loss to LP in the right and 20/400 in the left. The right optic disc was pale, but the left was pale and swollen. A CT orbits showed that the right optic canal was smaller than the left, but no other abnormality. The ventricles were very slightly enlarged compared to previous, so she underwent shunt revision. However, 2 weeks after the shunt revision, vision had dropped further to HM in the left eye despite improvement in the disc edema. Repeat MRI shows stable ventricular size, thin smooth dural enhancement and low lying cerebellar tonsils. She has now been referred to me for a second opinion.

    I am unfamiliar with osteopetrosis and have not seen this before. I just wonder if anyone has suggestions for what could be causing the progressive vision loss despite no evidence of compression within the canal, and even after revision of the VP shunt. Any insight would be most welcome! Thanks,

    Lulu

     

    Lulu Bursztyn

    Comprehensive and neuro-ophthalmology

    Western University, London, Ontario

    lulu.bursztyn@sjhc.london.on.ca

    519-646-6214

     


    The information transmitted is intended only for the person or entity to which it is addressed and may contain confidential and/or privileged material. Any review, retransmission, dissemination or other use of, or taking of any action in reliance upon, this information by persons or entities other than the intended recipient is prohibited. If you received this in error, please contact the sender and delete the material from any computer. www.sjhc.london.on.ca


  • 2.  RE: Osteopetrosis

    Posted 02-27-2026 18:35
    I don't suppose you have OCT for her. It is quite possible that she had bilateral optic neuropathy in both eyes worse in the left eye and the brief period of sustained high ICP due to obstructive hydrocephalus just tipped her over. As far as progressive vision loss following shunt placement and normalization of ICP this has been described (post decompression optic neuropathy) and the mechanism is unknown but it is thought to be autoregulatory dysfunction in oculr blood flow following quick reduction of ICP. I think there is a recent report published on this https://www.tandfonline.com/doi/full/10.1080/01658107.2023.2301360

    Raed 
    Sent from my iPhone





  • 3.  RE: Osteopetrosis

    Posted 02-27-2026 19:35
    The "improving" disc edema might just be developing atrophy. It might have been too late by the time they intervened. 
    Dane Breker





  • 4.  RE: Osteopetrosis

    Posted 02-28-2026 00:32
    Osteoporosis causes compressive optic neuropathy due to the optic canal narrowing. We can look at the CT cuts too .I remember advising optic canal decompression in a 2 year old child with osteopetrosis with optic atrophy to retain vision many years back, do t have a follow up though.
    Dr Shikha Bassi
    Sankara Nethralaya
    Chennai
    India




  • 5.  RE: Osteopetrosis

    Posted 02-28-2026 04:09
    It is possible that hydrocephalus caused this may be due shunt dysfunction that is not constant special with fluctuations of the ICP with a functioning shunt , also canal narrowing with osteoporosis, but the sequence of event would suggest optic neuritis from autoimmune origin I had a child with bone marrow transplant with autoimmune optic neuritis that responded to steroids with collaboration with hematologist , so it may be multifactorial but don't exclude optic neuritis and immunology and haematology profiles should be repeated , VEP also would give some valuable data 





  • 6.  RE: Osteopetrosis

    Posted 02-28-2026 06:33
    Sorry , I missed the part where it's mentioned that a CT orbit has been done and only mild narrowing has been documented OD.
    The timeline of vision loss is more in favour of a compressive cause and the oedema due to the failed shunt is a factor too.
    Sharing with the group the calvarial thickening and canal narrowing in my pt. It can be very severe. Please share the canal size too.

    Dr Shikha Bassi
    Sankara Nethralaya 
    Chennai
    India
    Dr Shikha Bassi
    Sankara Nethralaya 
    Chennai
    India





  • 7.  RE: Osteopetrosis

    Posted 02-28-2026 06:38
    Dr Shikha Bassi
    Sankara Nethralaya
    Chennai
    India




  • 8.  RE: Osteopetrosis

    Posted 02-28-2026 08:08
    I saw a patient (the only one I've seen) with osteopetrosis. He's an 11-year-old boy. His vision is limited to counting fingers to two feet in his right eye (OD), and he has light perception in his left eye (OS). He shows no signs of intracranial hypertension, and his optic nerves are extremely pale. The CT scan of his head clearly shows compression of the optic canal; it's so narrow it's almost imperceptible. I requested a neurosurgical consultation to see how it could be decompressed, but unfortunately, they said it wasn't possible due to the significant thickness of his bones.

    Dr. Adalgisa Corona
    Hospital Dr. Elias Santana
    Centro Laser
    Santo Domingo. D.N.
    Dominican Republic 


    Enviado desde mi iPhone





  • 9.  RE: Osteopetrosis

    Posted 02-28-2026 12:45
    Thanks everyone for all the thoughtful responses. I will see if I can send some images when I'm in the office on Monday.
    The CT was done immediately following the recent presentation, followed by an MRI. It was reviewed by a neuroradiologist, and there was not felt to be any canal compression. She is followed by a neurosurgeon as well, who also felt that there was nothing to be done in the canal area. They were reluctant at first to even do the shunt.
    There was an OCT done both pre- and post- shunt revision. The pre-op OCT has so much movement artifact, it is difficult to interpret, but you can still see the disc edema subjectively. The post-op OCT shows significant atrophy with an RNFL of around 76 I think. The cross sectional images show a reduction in the edema as well.
    I like the idea of looking for an autoimmune process, I will have to find out what medications she is taking, and consider a trial of steroids. But unfortunately, I suspect that both Dane and Raed are correct, that the damage is done, and there may be little chance of recovery.
    Lulu

    Lulu Bursztyn

    Comprehensive and neuro-ophthalmology

    Western University, London, Ontario

    lulu.bursztyn@sjhc.london.on.ca

    519-646-6214

     






  • 10.  RE: Osteopetrosis

    Posted 03-02-2026 13:59

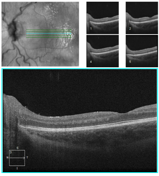
    Please find below some images from the case:

     

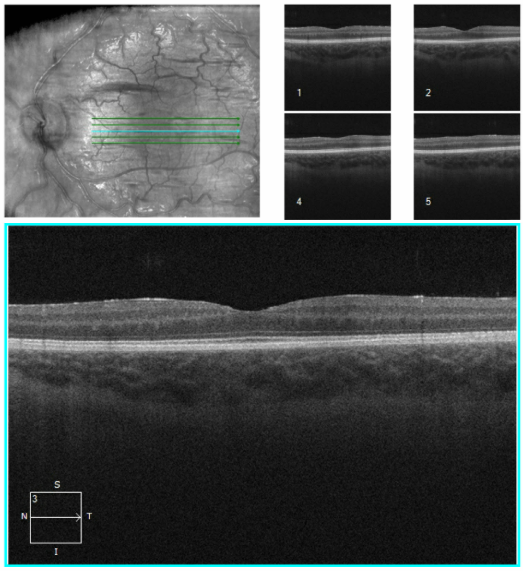
    OCT from early Jan 2026, when she first re-presented with vision loss in the left eye and disc edema. Very poor quality with poor fixation, but you can get a better sense of the left optic disc edema from the macular images.

     

    Better quality OCT from the end of Jan after the shunt placement. The macular rasters don't catch the disc this time, so it's hard to compare, but I'd say the edema has clearly improved.

     

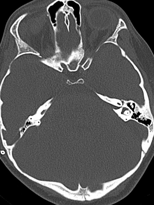
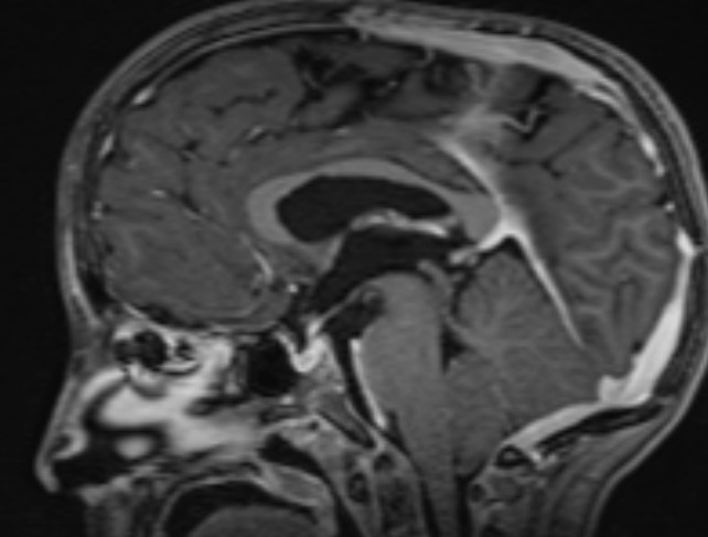
    Here are a couple of slices of the CT from early Jan, showing mild enlargement of the ventricles compared to previous, but no evidence of transependymal CSF edema. The optic canals were felt to be slightly asymmetric, with the right being smaller than the left.

     

    Post op MRI shows no significant change in the size of the ventricles, low lying cerebellar tonsils, similar to previous. Chiasm and nerves are small, unchanged from an MRI one year ago.

     

    Here is an image of the spine from a year ago, showing syringomyelia, which has been unchanged for several years.

     

     

    Lulu Bursztyn

    Comprehensive and neuro-ophthalmology

    Western University, London, Ontario

    lulu.bursztyn@sjhc.london.on.ca

    519-646-6214

     






  • 11.  RE: Osteopetrosis

    Posted 03-02-2026 14:09
    Thank you . I agree that Osteopetrosis has nothing to do with her optic nuropathy and the “improvement” in disc edema is a comonation of resolving papilledema and also optic atrophy followng shunting for her hydrocephalus.


    RB