NANOSNET

 View Only
Expand all | Collapse all

Sudden drop in visual acuity in what initially appeared to be a NAION

  • 1.  Sudden drop in visual acuity in what initially appeared to be a NAION

    Posted 07-28-2025 08:49
    Edited by Michel Van Lint 07-28-2025 11:14
    Hello,
    Please find the case description below (male, 55 years-old). I was wondering, if you have any suggestions? Apologies for the long text.
    I was thinking about a NAION, but his loss of visual acuity is atypical.
    The loss of GCL is unfortunately not good.
    The attached OCT compares 24 (worse) and 28 July (slightly better).
    The visual field compares 24 (left, better) and 28 July (right, slightly worse)
    Michel
    A. In short:
    • Sudden visual loss in right eye

    • Inferior altitudinal defect with "macular sparing"

    • Optic disc edema right eye (not papilledema)

    • Initial acuity 1.0, then rapidly worsened to counting fingers, then 0.05

    • No signs of infection, normal labs and CSF

    • Mild improvement after IV steroids

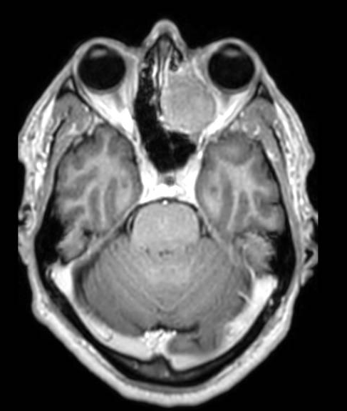
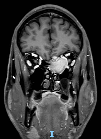
    • Left ethmoidal mass (but no compression seen on MRI)

    • Negative for anti-MOG, ANA, ANCA, and infection

    • anti-NMO still unknown

    • MRI spine: normal

    • No white matter lesions

    B. The complete text:

    Initial Presentation (04 July 2025):
    The patient (male, 55yo) presented with sudden visual loss in the right eye and was found to have a mass in the left ethmoidal sinus.
    Examination revealed:
    • Optic disc edema in the right eye
    • Inferior altitudinal visual field defect with macular sparing (right eye)
    • Visual acuity: 1.0 bilaterally
    • Left eye: normal
    MRI brain showed the ethmoidal lesion was likely benign (e.g. fibrous dysplasia or ossifying fibroma), though a low-grade tumor could not be excluded. Biopsy was recommended.

    Initial Management:
    A diagnosis of NAION was considered likely, given the visual field defect and presentation upon awakening.
    Despite the lack of proven efficacy, oral Medrol 64 mg was started due to:
    • In the acute setting I don't always find it straightforward to make the difference with an inflammatory cause
    • Low suspicion of infection (normal CRP, ESR)

    Clinical Deterioration:
    By 23/07/2025, vision in the right eye worsened from 1.0 to counting fingers, which is atypical for NAION.
    This prompted reconsideration of the diagnosis and further evaluation for an inflammatory or autoimmune optic neuropathy.

    Workup:
    • Neurology consult: lumbar puncture, spinal MRI → no evidence of demyelinating or inflammatory disease
    • IV Solumedrol (5 days) started 24–28/07/2025
    • Bloodwork: Negative for anti-MOG, ANA, ANCA, infectious serologies (HIV, syphilis, IGRA, toxoplasma). Anti-NMO still unknown
    • Spinal MRI: normal
    • CSF: unremarkable

    Current Status (28/07/2025):
    • Vision slightly improved: counting fingers → 0.05 (right eye)
    • Visual field defect unchanged
    • Optic disc edema improving post-IV steroids (see attached images)

    Differential Diagnosis:
    1. NAION
      • Initial suspicion based on pattern of visual loss
      • Rapid deterioration and delayed improvement with steroids argue against it
    2. Inflammatory/autoimmune optic neuropathy
      • Clinical worsening supports this
      • No serological or radiological confirmation
      • Mild improvement with IV corticosteroids supports possibility
    3. Compression by ethmoidal lesion
      • Unlikely: lesion is on the left, neuropathy is on the right
      • No compressive signs on MRI


  • 2.  RE: Sudden drop in visual acuity in what initially appeared to be a NAION

    Posted 07-28-2025 10:03

    Papilledema????

    what is c/d ratio OU

    why is this not NAAION?!

    you let neurology Rx with 5 d solumedrol IV ?

    scott Forman




  • 3.  RE: Sudden drop in visual acuity in what initially appeared to be a NAION

    Posted 07-28-2025 10:13
    Edited by Michel Van Lint 07-28-2025 10:49

    Dear Dr. Forman,

    Neurology had already organised the steroids and explained everything to the patient.

    The loss of vision from 1.0 to counting fingers was worrying and did not seem typical for NAION, although everything else does appear to be so.

    c/d left eye 0.33

    Michel




  • 4.  RE: Sudden drop in visual acuity in what initially appeared to be a NAION

    Posted 07-28-2025 10:51
    Edited by Michel Van Lint 07-28-2025 11:23

    Dear Dr. Forman,

    I corrected my initial post:

    Obviously, I meant to say optic disc edema. In my native language the term papilledema is not associated with intracranial hypertension, but has the same meaning as optic disc edema. We only have the term papilledema in Dutch (not optic disc edema). As such it is not a diagnosis in Dutch, but a description.

    This is confusing. I don't normally make this mistake, but I am having sleep attacks lately and it is affecting my performance. Investigation is ongoing. Sincere apologies. I did not mean to get personal about myself, but the tone of your e-mail made me want to explain myself. We are all only human.

    Michel




  • 5.  RE: Sudden drop in visual acuity in what initially appeared to be a NAION

    Posted 07-28-2025 11:52
    I believe tumoral compression is adding to NAION here to make the vision worse
    SF





  • 6.  RE: Sudden drop in visual acuity in what initially appeared to be a NAION

    Posted 07-28-2025 13:50
    Even in ,my dotage I totally agree with Dr Forman
    There is no way thar ethmoid mass is knot compressing the optic nerve and exacerbating the underlying NAION.  Also it would allow you the rule out A massive Aspergilloma but if it were a fungus patient would be dead by now
    Been there done that

    tcspoor MD

     








  • 7.  RE: Sudden drop in visual acuity in what initially appeared to be a NAION

    Posted 07-28-2025 13:51
    AION as i understand on the other side






  • 8.  RE: Sudden drop in visual acuity in what initially appeared to be a NAION

    Posted 07-28-2025 13:54

    I missed this originally also, Scott. While impressive, It's on the wrong side (I'm surprised that optic nerve ipsilateral to the tumor is unscathed!).

    Deb






  • 9.  RE: Sudden drop in visual acuity in what initially appeared to be a NAION

    Posted 07-28-2025 14:27

    Thank you all for your feedback. 

    I realise everything points to a NAION, but the decrease in visual acuity from 1.0 to counting fingers had me hesitate.

    Michel




  • 10.  RE: Sudden drop in visual acuity in what initially appeared to be a NAION

    Posted 07-28-2025 14:42
    There is a 10-15% subset of patients with NAAION who suffer stepwise loss of visual acuity/field over several weeks. No everyone suffers a onetime loss and then remains stable. 
    +=+=+=+=+=+=+=+=+=+=+=+=+=+=+=+=+=+=+=+=
    Scott Forman, MD
    Senior Fellow North American Neuro-ophthalmology Society

    Adult and Pediatric Neuro-ophthalmology
    Comprehensive Ophthalmology
    Functional Medicine














  • 11.  RE: Sudden drop in visual acuity in what initially appeared to be a NAION

    Posted 07-28-2025 14:47
    If you are in private practice like I am and often see patients within 72 hours of the onset of their visual loss, you will find that it is a lot greater than 15% of people w NAION who progress compared to onset. Most of the literature probably describes people who are not seen by a neuro ophthalmologist for ten days or so after their presentation Which would explain why the incidence of progressive N AI ON is described as being a lot lower in the literature than what I know to be the case.

    Matt

    Sent via the Samsung Galaxy S21 5G, an AT&T 5G smartphone






  • 12.  RE: Sudden drop in visual acuity in what initially appeared to be a NAION

    Posted 07-28-2025 14:58
    I am sorry but the image orientation indicates a right ethmoidal mass , but the text say left .. then it wouldn't be compressing if this is the case 







  • 13.  RE: Sudden drop in visual acuity in what initially appeared to be a NAION

    Posted 07-28-2025 15:25
    In a case like this, I would try to be sure the scan is oriented and labelled correctly. I have seen several cases where the radiology indicated the wrong side (yes - in MRI and CT). A head CT might help elucidate the  type of lesion  you're dealing with as well as verify the side is correctly identified.  

    Russ Edwards






  • 14.  RE: Sudden drop in visual acuity in what initially appeared to be a NAION

    Posted 07-28-2025 15:51

    I agree, Matt.

     

    This is the graph that Simmons and I published in 1991 showing the % of patients who reported visual loss over time (i.e. days). Note that 10% of NAION patients (the dashed line) reported some progression of visual loss for 10 days or slightly longer.

     

    joe

     

     

     

    Joseph Rizzo, MD

    Simmons Lessell Professor of Ophthalmology

    Director, Neuro-Ophthalmology Service

    Mass Eye and Ear / Harvard Medical School

     






  • 15.  RE: Sudden drop in visual acuity in what initially appeared to be a NAION

    Posted 07-31-2025 18:10
    My experience parallels yours. Worsening vision after the onset for Non-arteritic AION has been much higher than 15% in my private practice as well. These are the patients I tend to treat with prednisone when they present with 20/20 and not the ones with severe visual loss, just in case they get worse later, which will hopefully prevent the patient from asking why I didn’t do anything before he/she lost more vision.

    Charles Rheeman




  • 16.  RE: Sudden drop in visual acuity in what initially appeared to be a NAION

    Posted 07-31-2025 19:07
    I let the patient know that they may well deteriorate over the upcoming 2 or 3 weeks, But that unfortunately there is no accepted treatment. When they do get worse, they will often come into the office at their follow-up And tell me that I was right and they were at least prepared for it and not surprised. So I basically prepare them for the fact that they may get worse, But I don't like to subject them to The potential side effects of steroids for a condition which has no rationale to respond to prednisone therapy.  I know that is very controversial however.

    Matt



    Sent via the Samsung Galaxy S21 5G, an AT&T 5G smartphone






  • 17.  RE: Sudden drop in visual acuity in what initially appeared to be a NAION

    Posted 07-31-2025 19:13
    Of course there isn’t yet conclusive evidence that steroids help with outcomes with NA-AION, but I believe that it likely does offer some benefit so I do offer it and employ it when the disk edema is significant 360 degrees but with only part of the field affected. I had a case recently who had a complete altitudinal defect with 20/20 vision and a very edematous nerve, the entire nerve, placed him on steroids and even Trental for good measure. He came in 3 weeks later with no subjective change in vision, but he had developed a new arcuate defect in the other half the field. Would he have turned out worse without treatment? Who knows. But 2 months out he’s 20/20 and the pallor of the dis is limited to half of the nerve and the field is stable. One anecdote.

    Mitch




  • 18.  RE: Sudden drop in visual acuity in what initially appeared to be a NAION

    Posted 07-31-2025 19:49
    We are all brothers and sisters - we just don't have to agree with each other.

    We can agree to disagree.

    Has anyone reverted back to retrobulbar aqueous steroid injection?
    Would/will proximity to the nerve be more efficacious, effective and efficient delivery of health care?

    DRAWBACKS (of which there are many) include, but are certainly not limited to specific and non-specific injury to Vision/Eyes - not to mention legal repercussions/issues! 

    It's just a thought - NOT a proposal/recommendation


    Edward M. Cohn, MD, mba, mph
    3535 W. 13 Mile (506)
    Royal Oak, MI 48073
    Ph: 248-551-8282
    Fax: 248-551-9085





  • 19.  RE: Sudden drop in visual acuity in what initially appeared to be a NAION

    Posted 07-28-2025 16:55
    In the classic description description by Bogen $ Glaser vision decreased over the course of 9 days on average. Later Sergott described Progressive nAION where vision decreases over weeks or months, as Scott suggested. The latter cases are notable for more prominent and prolonged disc edema 







  • 20.  RE: Sudden drop in visual acuity in what initially appeared to be a NAION

    Posted 07-28-2025 12:31
    Check for risk factors for NAION 
    OSA, ODD , coagulation problem, simaglutide meds, ED meds
    Macular OCT: is there seeping of fluid under the macula causing this worsening in vision? 

    If neuro-imaging is normal and GCA is common where you are - temporal artery US or biopsy


    Nooran O. Badeeb, MBBS
    Saudi Board Certified Ophthalmologist
    Neuro-ophthalmology & Adult Strabismus Surgery
    Assistant Professor, Ophthalmology Department, Faculty of Medicine,  University of Jeddah, Jeddah, Saudi Arabia






  • 21.  RE: Sudden drop in visual acuity in what initially appeared to be a NAION

    Posted 07-28-2025 13:38
    Absolutely 





  • 22.  RE: Sudden drop in visual acuity in what initially appeared to be a NAION

    Posted 07-28-2025 13:42
    I would definitely say that compression played a role from the images , I may be a contributing factor , I had a sphenoidal wing meningioma with an attitudinal defect , it is a large mass to be omitted as a factor