NANOSNET

 View Only
Expand all | Collapse all

CML / dasatinib and optic neuropathy?

  • 1.  CML / dasatinib and optic neuropathy?

    Posted 05-02-2025 04:52
    Male, 73 years old.
    Diagnosed with CML in September 2024 after an accidental finding of leukocytosis.
    He was treated with dasatinib, which was stopped on 10th April.
    Mid March he noticed a bilateral loss of vision.
    On 11th April he got his first eye exam which revealed a bilateral optic disc edema
    He was given oral methylprednisolone 64 mg/day.
    Bloodwork and cerebral MRI were considered normal.
    The hematologist considered the CML to be in remission and therefore unlikely to be the cause.
    During follow-up in the next two weeks the optic disc edema resolved. Despite that, he continued to have further loss of vision and visual field in the right eye. The left eye mostly remained non-functional.
    With a bit of fantasy, one might wonder if there is a quadrantanopsia in the right eye initially (and then  a hemianopia??) against a background of diffuse loss of sensitivity.
    Until now there has been no explanation for his going blind.
    Lumbar puncture was refused by the hematologist as it was deemed unnecessary. The neurologist eventually did the LP after explaining its importance.
    The results of the lumbar puncture read: "Cell-rich cytological sample with a predominance of lymphoid cells, which sometimes show varying diameters. No cytological evidence of an underlying epithelial lesion. Results must be strictly correlated with clinical biology to rule out an underlying lymphoma."
    Despite that, the hematologist said that the lumbar puncture was traumatic and that this explains this result. They reassured us that the leukemia is inactive.
    He is now coming to me for second opinion.
    My current DD would be:
    • Giant cell arteritis (biopsy tomorrow, as the diagnosis had not been considered before, because of normal CRP and ESR)
    • Microscopic leukemic optic nerve infiltration
    • Paraneoplastic optic neuropathy
    • Dasatinib causing optic neuropathy has been described
    My suggested approach would be:
    • Repeat lumbar puncture
    • MRI orbits
    • Plasmapheresis depending on results of the second lumbar puncture
    • Optic nerve biopsy if all else fails, his vision is not stable and the patient agrees
    Would do you think?...
    Since this is quite an aggressive approach, I do not feel too comfortable about this, but neither is the progression of his visual fields
    Michel
    PS.
    - I was told, I am allowed to post images directly using this new medium - if not, please let me know
    - Apologies if this is a double thread (I first tried starting one by sending an e-mail, but it probably/obviously does not work like that)


  • 2.  RE: CML / dasatinib and optic neuropathy?

    Posted 05-02-2025 05:18
    Is there any Fundus picture to see here ?







  • 3.  RE: CML / dasatinib and optic neuropathy?

    Posted 05-02-2025 05:46
    Edited by Michel Van Lint 05-02-2025 06:34
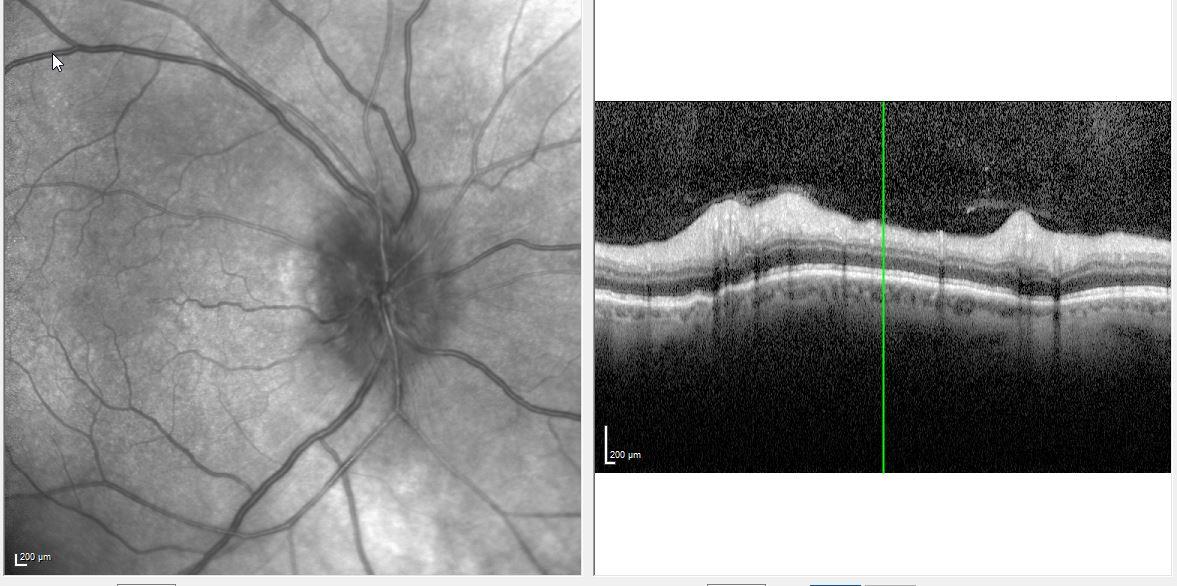
    Only a OCT scan so far, but hope to get a fundus picture today or Monday
    I have seen the patient once past Wednesday and we were limited in the available examinations
    There was an edema on the  left,but it had resolved by the time  I saw him.
    The edema of the right eye looked quite pallid and the TAB was done yesterday.
    Edit: Patient comes in a few hours for MRI and LP - I asked him to come to ophthalmology to take a fundus picture




  • 4.  RE: CML / dasatinib and optic neuropathy?

    Posted 05-02-2025 14:53
    I would not do TAB. This is his cancer. Unfortunately it may be too late to save restore vision.
    Peter
    Sent from my iPhone





  • 5.  RE: CML / dasatinib and optic neuropathy?

    Posted 05-02-2025 18:03
    What does the macula OCT show?

    We had a case a couple of years ago of a patient who developed acute loss of vision (NPL) in one eye with a swollen disc, soon after stopping Dasatinib for CML. Associated PAMM enabled us to treat for GCA and preserve vision in the other eye, without waiting to exclude infiltration. Ultrasound and TAB were unequivocally positive (with negative IHC for myeloid cells). 

    Best,

    Ajay 


    Sent from Outlook for iOS


    ************************************************************************************** ******************************

    This message may contain confidential information. If you are not the intended recipient please:
    i) inform the sender that you have received the message in error before deleting it; and
    ii) do not disclose, copy or distribute information in this e-mail or take any action in relation to its content (to do so is strictly prohibited and may be unlawful).
    Thank you for your co-operation.

    NHSmail is the secure email, collaboration and directory service available for all NHS staff in England. NHSmail is approved for exchanging patient data and other sensitive information with NHSmail and other accredited email services.

    For more information and to find out how you can switch visit Joining NHSmail – NHSmail Support






  • 6.  RE: CML / dasatinib and optic neuropathy?

    Posted 05-03-2025 15:07
    Good sugegstion. I double checked it, but no signs of PAMM





  • 7.  RE: CML / dasatinib and optic neuropathy?

    Posted 05-02-2025 05:49

    Advising a CEMRI of the brain and orbit , which may show sheath enhancement and a repeat atraumatic LP may appear extensive / aggressive but are a step in the right direction ,while TAB with normal esr and crp more than 2 weeks post treatment with steroids might be a futile invasive investigation.
    At this point ruling out a new malignancy or a relapse of CML with HPE is important . There's a clinical doubt of CNS invasion in a pt in remission. No test is aggressive enough to show that he doesn't have any .
    Thanks for sharing the case.

    Dr Shikha Bassi
    Director
    Neuroophthalmology Services
    Sankara Nethralaya 
    Chennai
    India





  • 8.  RE: CML / dasatinib and optic neuropathy?

    Posted 05-02-2025 07:27

    The single case report of dasatinib optic neuropathy is highly suspicious as it does not appear they appropriately ruled out optic nerve infiltration and it is difficult to attribute asymmetric optic neuropathies to toxic etiologies.

    I would be highly suspicious infiltrative optic neuropathy in your case. Hematologist are often in denial of leukemia relapse in the CNS although the CNS is a known reservoir and in particular the subarachnoid space of the anterior optic nerve.

    1. Chronic Myelogenous Leukemia Relapse Presenting With Central Nervous System Blast Crisis and Bilateral Optic Nerve Infiltration. Mbekeani JN, Abdel Fattah M, Al Nounou RM, Chebbo W, Dogar MA. Journal of Neuro-Ophthalmology : The Official Journal of the North American Neuro-Ophthalmology Society. 2016;36(1):73-7. doi:10.1097/WNO.0000000000000326.

    2. Bilateral Optic Nerve Infiltration in Central Nervous System Leukemia. Schocket LS, Massaro-Giordano M, Volpe NJ, Galetta SL. American Journal of Ophthalmology. 2003;135(1):94-6. doi:10.1016/s0002-9394(02)01847-0.

    3. Leukemic and Lymphomatous Optic Neuropathy: A Case Series. Lee V, Farooq AV, Shah HA. Journal of Neuro-Ophthalmology : The Official Journal of the North American Neuro-Ophthalmology Society. 2021;41(4):e796-e802. doi:10.1097/WNO.0000000000001365.

    Did they not do flow cytometry on the CSF? You could also do a cell free DNA PCR for the Philadelphia mutation from the CSF.

    If there is no CSF left to test, I agree a repeat LP is needed.

    I'm not sure the orbital MRI will distinguish between GCA and leukemia infiltration, but it could give you good reason to proceed with biopsy if LP is inconclusive.

    Best of luck,

    Drew



    ------------------------------
    Andrew Carey
    Associate Professor
    Wilmer Eye Institute, Johns Hopkins Medicine
    Baltimore MD
    ------------------------------



  • 9.  RE: CML / dasatinib and optic neuropathy?

    Posted 05-02-2025 10:24
    I agree with Drew - the dasatinib case reports are very low quality and report highly heterogeneous presentations. The association is not compelling.  Oskam and Danesh-Meyer have a nice summary in 2024 (Neuro-ophthalmic complications of modern anti-cancer drugs. Graefe's 2024;262:2269).

    All the best
    Marc Bouffard

    The information in this e-mail is intended only for the person to whom it is addressed.  If you believe this e-mail was sent to you in error and the e-mail contains patient information, please contact the Mass General Brigham Compliance HelpLine at https://www.massgeneralbrigham.org/complianceline .


    Please note that this e-mail is not secure (encrypted).  If you do not wish to continue communication over unencrypted e-mail, please notify the sender of this message immediately.  Continuing to send or respond to e-mail after receiving this message means you understand and accept this risk and wish to continue to communicate over unencrypted e-mail. 






  • 10.  RE: CML / dasatinib and optic neuropathy?

    Posted 05-07-2025 07:50
    Unfortunately, the flow cytometry did not help us further.
    We are currently trying plasmapheresis in an attempt to see if there is anything we can still salvage, but I am not expecting anything major..
    The patient prefers to have no optic nerve biopsy.

    Flow cytometry negative for a lymphoproliferative process
    Immunophenotyping review
    A total of 1 129 viable nucleated CD45‑positive events were analysed.
    • T‑lymphocytes are present with a normal CD4/CD8 ratio.
    • Both the CD4‑positive and CD8‑positive T‑cell populations show a polytypic/polyclonal pattern on TRBC1 clonality analysis and display normal marker expression.
    • B‑lymphocytes are virtually absent; clonality cannot be evaluated.
    Immunophenotyping conclusion
    Flow‑cytometric analysis provides no evidence for a lymphoproliferative process.
    Michel





  • 11.  RE: CML / dasatinib and optic neuropathy?

    Posted 05-07-2025 13:39
    I still feel like, I am missing something.
    He is still on methylprednisolone 32 mg. Perhaps I should taper it quickly and then ask for a repeat LP one month after stopping the medication?
    His first LP elsewhere showed numerous lymphoid cells, but the result was disregarded by the first hematologist .
    The current LP could be false negative because of the steroids?

    Michel





  • 12.  RE: CML / dasatinib and optic neuropathy?

    Posted 05-07-2025 13:49
    Difficult case
    What is his vision today?
    If it is leptomeningeal disease, he needs different treatment ASAP if any vision is salvageable.
    Waiting one month is too late.




    Jade S. Schiffman MD, FAAO, FAAN

    Co-Director of Neuro-Eye Clinical Trials, Inc. 

    Co-Director Neuro-ophthalmology of Texas, P.L.L.C.

    Adjunct Professor, Department of Clinical Sciences, UH College of Medicine

    Former Professor of Ophthalmology and Neurology, University of Texas MD Anderson Cancer Center

     








  • 13.  RE: CML / dasatinib and optic neuropathy?

    Posted 05-07-2025 14:18
    I have only seen him bedside today. He is currently admitted because of hyperglycemia due to the steroids. He is also on plasmapheresis (second session today).
    Hope to see him tomorrow, though.
    I would feel safer with intrathecal chemotherapy and radiotherapy, but without any proof of the leukemia, there is obviously no way anyone will agree to this.

    Michel





  • 14.  RE: CML / dasatinib and optic neuropathy?

    Posted 05-07-2025 14:20
    Can you request the slides from the original LP to have it reviewed?

    Best,

    Drew





  • 15.  RE: CML / dasatinib and optic neuropathy?

    Posted 05-08-2025 00:45
    2 high resolution CEMRI and 2 LPs negative (according to the oncologist)  for leptomeningeal spread. I think we should now start discussing the TAB results and rheumatologists opinion on if it's a GCA or CML vasculitis.
    Do we have the TAB results?

    Dr Shikha Bassi
    Sankara Nethralaya 
    Chennai
    India





  • 16.  RE: CML / dasatinib and optic neuropathy?

    Posted 05-02-2025 07:30
    I agree with Dr Carey but I don't rule out ischemic neuropathy from hyperviscosity hypercoagulable state





  • 17.  RE: CML / dasatinib and optic neuropathy?

    Posted 05-02-2025 09:49

    Good morning,

     

    Top differential is disease burden vs treatment of the disease vs new condition

     

    -infiltrative optic neuropathy, optic nerve has been referred to as a potential "sanctuary" for leukemic cells despite treatment with chemotherapy, negative imaging and negative CSF due to the blood brain barrier and blood retinal barrier.

    - Chronic myelomonocytic leukemia-related vasculitis mimicking GCA

    - Inflammatory/Immune Adverse Events in CMML Patients during Treatment with Bosutinib ( another second generation TKI )

    - GCA

     

    Given the aggressive/progressive vision loss disease burden infiltrative optic neuropathy is the main concern

    • Please repeat large volume LP with cytology
    • Consider 3T MRI of the orbit
    • Rheumatology consults for any systemic GCA signs.. If you get pushed back on TAB may consider TA ultrasound
    • I always get radiation oncology on board and get patient simulated and ready if urgent intervention needed
    • Continue high dosed of steroid This will buy you sometime while figuring out the final diagnosis and treatment
    • If autoimmune / inflammation is high concern PLEX

     

    Thank you,

     

    Nagham

     

    Nagham Al-Zubidi, M.D.

    Associate Professor | Department of Head and Neck

    Associate Director of Neuro-Ophthalmology Fellowship | Department of Head and Neck

    OphthalmologyNeuro-Ophthalmology

    The University of Texas M.D. Anderson Cancer Center | 1400 Pressler St. Unit 1445| Houston, TX 77030

    nsal@mdanderson.org (713-792-79506713-794-4662

     

     

     






  • 18.  RE: CML / dasatinib and optic neuropathy?

    Posted 05-03-2025 15:03
    Thank you all very much for your responses. MRI orbit is considered negative (3T, contrast enhanced). LP and flowcytometry results are pending...

    Michel





  • 19.  RE: CML / dasatinib and optic neuropathy?

    Posted 05-03-2025 22:15
    Great work up !
    Even if the MRI and LP is negative for CML, it was the most important.TAB positive or negative is secondary now that the vision is lost in both the eyes. I wonder if the rheumatologist will keep him on long term steroids now for other complications of CML induced vasculitis/GCA.?

    Best

    Dr Shikha Bassi
    Sankara Nethralaya
    Chennai
    India