NANOSNET

 View Only
  • 1.  Bilateral progressive optic neuropathy

    Posted 09-25-2025 12:46
    Hello everyone, 

    I would appreciate your thoughts on this complex case. (Sorry for the long email.)

    76 years-old man presents in June 2025 for 3rd opinion of progressive painless insidious vision loss of both eyes which started ~ 2020. He notices peripheral>central blurred vision subjectively. No prior episodes of transient vision loss or pain with eye movements. No head/orbital trauma. Had a tick bite with rash ~ 10 years ago, treated, Lyme was negative. COVID and COVID Does not recall a significant event prior to vision loss. There have been no clinical neurological symptoms.  Initial available exam in late 2022, revealed bilateral optic neuropathy (diffuse RNFL and GCL thinning, dyschromatopsia). 
    Reportedly had high myopia before cataract surgery OU.

    BCVA 20/70 OD, 20/80 OS, Ishihara 1/11 OD, 3/11 OS.  No RAPD. 
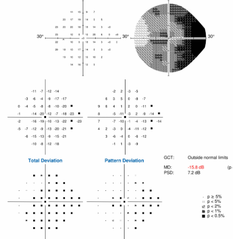
    OCT RNFL: severe diffuse RNFL and GCL thinning OU. 
    24-2 VF: 

    Extensive serologic work up over the past two years have been negative. 
    He has undergone lumbar puncture x2, which revealed elevated CSF protein (119 and 91) otherwise normal. 
    CT C/A/P negative for occult malignancy. Has a 4.6 cm abdominal aortic aneurysm.

    (2023-2025) Work up summarized below: 

    Neuroimaging:

    • 12/1/2023 MRI thoracic spine with without contrast: Normal spinal cord signal, morphology and postcontrast.  Capacious spinal canal.  No herniated disc or significant disc bulging.  Mild/moderate facet arthropathy.  Mild osteoarthritis of costovertebral costotransverse joints.
    • 12/1/2023 MRI C-spine with and without contrast: 1.  Normal spinal cord signal and morphology.  Normal postcontrast imaging. 2.  Generally moderate diffuse spondylosis with facet arthropathy. 3.  Anterior spinal cord flattening secondary to spondylitic ridging at C3-4, C4-5 and C5-6 without altered cord signal. 4.  No herniated disks. 5.  Normal paravertebral soft tissues.
    • 10/6/2023 MRI brain and orbits with and without contrast: 1.  Optic nerve and chiasm atrophy. 2.  Otherwise, normal orbital contents. 3.  Moderate cerebral atrophy. 4.  Mild chronic microangiopathy. 5.  No acute intracranial process. 

    Pertinent labs/tests:

    • 5/2023: Negative/WNL folic acid, B12, MMA, platelets, copper, syphilis, Lyme, B1
    • 10/2023 Lumbar puncture (per chart review, I don't have the results): opening pressure 12 (prone), negative OCB but elevated IgG synthesis rate (12.6) and IgG index (0.63). CSF protein elevated to 119. Normal glucose. Only 1 WBC. Gram stain, culture and fungal culture negative.  Mayo autoimmune/paraneoplastic panel - negative in CSF (Mayo ENC2).
    • 12/2023: "Formal neuropsych testing showed low-average scores, suggested cortical asymmetry more pronounced to right hemisphere." MMSE 28/30. 
    • 12/8/2023 EMG/NCS: 1. mild sensorimotor peripheral neuropathy, demyelinating and axonal in nature.  2. there is no evidence of active denervation or myopathy.
    • 12/8/2023 VEP: Abnormal, delayed N75, P100, and N145 latencies with both left and right eye stimulation.
    • 3/2024: Negative/WNL AQP4 (CBA in serum), MOG-IgG (CBA in serum), paraneoplastic/autoimmune panel (Recoverin ab negative, no CRMP5 or GFAP), arsenic, Mercury, lead, HIV, lyme, bartonella, Quantiferon, ANA, ANCA, ACE, dsDNA, RF, SPEP, HgbA1C, ESR, CRP, SSA, SSB
    • 12/2024 Lumbar puncture: RBC 19, WBC 2 (57% lymph), protein 91, glu normal,
      • Negative M/E panel, culture, lyme, VDRL
      • OCB 0
      • CSF IgG elevated 7.44(0.93-5.86), IgG index normal
      • CSF albumin elevated 57.2 (13.9-24.6)
      • Negative CSF AQP4 (CBA), MOG-IgG (CBA)
      • Negative cytology and flow cytometry
      • Paraneoplastic/autoimmune encephalopathy panel (Mayo clinic ENC2) - not done
    • Per chart review: CT chest, abdomen and pelvis to rule out occult malignancy and to rule out bilateral hilar LAD which would be suggestive of sarcoid if present, were all negative.
    • 7/14/25 negative/WNL biotinidase, paraneoplastic panel (Mayo ENS2 including CRMP5 and GFAP), ESR, CRP, UPEP, SPEP, heavy metal panel
    • 7/2025: GeneDx Combined Mito Genome Plus Mito Nuclear Panel: negative for LHON, ADOA. A variant of uncertain significance was identified (DNA2 gene, c.1993C>A VUS).


    He was started on Brimonidine by his previous neuro-ophthalmologist for neuro protection, and I advised to continue.  

    Already on ASA. 

    Has sleep apnea, not wearing CPAP, advised to get re-evaluated for mask. 

    I referred to glaucoma for evaluation of normal tension glaucoma (although GCL loss is way out of proportion). 


    I would really appreciate your thoughts and recommendations whether there is something else I could check or repeat. 

    He was also interested in clinical trials for optic neuropathies. 


    Thank you, 

    Negar 


    Negar Moheb, M.D.
    Co-Director, Neuro-Ophthalmology Section
    Assistant Professor of Neurology
    Lehigh Valley Fleming Neuroscience Institute
    1250 S Cedar Crest Blvd, Suite 405
    Allentown, PA 18103
    T 610-402-8420 | F 610-402-1689




    The information contained in this transmission contains privileged and confidential information. It is intended only for the use of the person named above. If you are not the intended recipient, you are hereby notified that any review, dissemination, distribution or duplication of this communication is strictly prohibited. If you are not the intended recipient, please contact the sender by reply email and destroy all copies of the original message.

    CAUTION: Intended recipients should NOT use email communication for emergent or urgent health care matters.



  • 2.  RE: Bilateral progressive optic neuropathy

    Posted 09-25-2025 13:42
    I would ask about ANA and ANCA , RF , I didn't recall seeing then in the long case and also smoking and alcohol and any drug history , by first impression this would be nutritional if genetic study is negative for LHON , gastric sleeve or other types of gastric surgery , because in the last few months I have seen some of those vague cases with pointing to gastric surgery leading to nutritional optic neuropathy , (Vitamin B related optic neuropathies 





  • 3.  RE: Bilateral progressive optic neuropathy

    Posted 09-25-2025 14:21

    You said he had a tick bite and rash, and that Lyme was negatiove, but there are several other disease that ticks can transmit that can cause neuroophthalmic disease.  Were they tested for?


    About once every 2-3 years, I still get a non-sunexposed skin biopsy to look for evidence of autoimmune disease.  I think you can do that simple test, but if you are convinced he has a prohgressive optic neuropathy, and all is negative, you have to make a decision to treat him.





  • 4.  RE: Bilateral progressive optic neuropathy

    Posted 09-25-2025 14:50
    The CDC recommended Lyme tests are only 25% valid. I recommend getting tested for Lyme and the other tic borne diseases (erlichiosis, Bartonella, Babesiosis) through the thorough testing of Igenex. Get a kit at Igenex.com and go to their many approved labs for a blood draw. The immunoblot tests this company does are far superior and now are covered by medicare and other companies. 
    +=+=+=+=+=+=+=+=+=+=+=+=+=+=+=+=+=+=+=+=
    Scott Forman, MD
    Senior Fellow North American Neuro-ophthalmology Society

    Adult and Pediatric Neuro-ophthalmology
    Comprehensive Ophthalmology
    Functional Medicine














  • 5.  RE: Bilateral progressive optic neuropathy

    Posted 09-25-2025 15:18

    DNA2 is associated with an autosomal dominant mitochondrial deletion syndrome which can present with a variety of mitochondrial syndrome including optic neuropathy. Within a family the mitochondrial manifestations can be heterogenous. It might be worth taking a detailed family history for mitochondrial symptoms including seizure, cardiac conduction defects, GI dysmotility, peripheral neuropathy, weakness / myopathy, CPEO, maculopathy, and optic neuropathy. You can then test family members to see if the DNA2 variant segregates with mitochondrial phenotypes.

    GeneDX will often provide an in silica analysis for the risk of pathogenicity of the mutation, some VUS are higher risk than other

    You can also check serum lactate an lyrivate, urinary organic acids, serum amino acids, acylcarnitine profile, and serum creatine kinase for signs of myopathy.

    Best, 

    Drew



    ------------------------------
    Andrew Carey
    Associate Professor
    Wilmer Eye Institute, Johns Hopkins Medicine
    Baltimore MD
    ------------------------------



  • 6.  RE: Bilateral progressive optic neuropathy

    Posted 10-16-2025 12:27

    Thank you everyone for your comments and responses. 

    The rash preceded the optic neuropathy by ~ 6 years, and as the treatment for other tick-borne illnesses is similar, I was not too suspicious for it to be the likely etiology of his progressive optic neuropathy. 

    Thanks Drew, I will have those labs checked and get a detailed family history. Will have our geneticist reengaged.

    Appreciated your help. 

    Best,

    Negar 

    -------------------------------------------



  • 7.  RE: Bilateral progressive optic neuropathy

    Posted 10-16-2025 13:06
    Please check this old paper on sleep apnoea and ischemic optic neuropathy . https://doi.org/10.1016/S0161-6420(98)95030-8
     It says " All three patients with severe SAS and one patient with moderate SAS (patient 5) had relative nasal arcuate defects . Two patients with severe SAS treated with CPAP were observed over 18 months. Visual field defects remained unchanged, indicating a permanent lesion. It might be that further visual field deterioration was prevented by CPAP therapy.
    ...conclude that an association between SAS and visual field defects exists. Our data do not allow any conclusion about a direct causal relationship between SAS and visual field defects. In particular, we cannot exclude a third factor influencing both SAS and visual fields."


    He maybe encouraged to use the CPAP machine. It may help with the other comorbidities too.

    Also could we have some comments on chronic NAION in SAS,( like here just a progressive visual constriction)  not the acute naion that typically occurs in morning in pts with SAS

    Dr Shikha Bassi
    Director; Neuroophthalmology Services
    Sankara Nethralaya 
    Chennai
    India