Hi Anthony,
What a unique and interesting case.
I would favor confirmation of a diagnosis before proceeding with any further invasive treatments. The Emory group has an excellent paper on this specific topic in 2021 JNO: Hawy E, Sharma RA, Peragallo JH, Dattilo M, Newman NJ, Biousse V. Unilateral Isolated Paucisymptomatic Optic Disc Edema. J Neuroophthalmol. 2021 Dec 1;41(4):e523-e534. doi: 10.1097/WNO.0000000000001136. PMID: 33394642.
- Do you have a contrasted MRI to look for nerve sheath enhancement or a meningioma in the apex / canal blocking CSF egress from the orbit?
- How about a fluorescein angiogram to look for signs of uveitis?
- Is there vitreopapillary traction on the OCT?
- I would discuss ICP monitoring or venous sinus manometry to confirm elevated ICP before repeating an ONSF.
If there is no progressive field loss and the patient is minimally symptomatic, with only mild disc edema, what is wrong with monitoring?
Best,
Drew
------------------------------
Andrew Carey
Associate Professor
Wilmer Eye Institute, Johns Hopkins Medicine
Baltimore MD
------------------------------
Original Message:
Sent: 08-26-2025 19:57
From: anthony fok
Subject: 59yo mane with pauci symptomatic right optic disc swelling for ~10 years with prev ONSF
This is Dr Anthony Fok - neuro-ophthalmologist from Melbourne, Australia.
Case - 59yo with right optic disc swelling that has responded to ONSF and diamox but cannot move forward with diamox or topirimate because of CKD egfr 51 CR 130 and these medications drops his egfr.
Questions - should I repeat ONSF or consider a trial of steroids if there is an autoimmune process? I am yet to embark of an autoimmune panel.
I inherited a patient this year and was prev seen by a now retired neuro-ophthalmologist.
59yo male with pauci symptomatic right optic disc swelling cause nyd
Background: Chronic kidney disease, HTN, dyslipidemia, umbilical hernia, kidney stones 2021 req ureteric stent now removed.
Medications: perindopril 10mg daily, atorvastatin 20mg daily.
2016 found to have right optic disc swelling on routine opt. He has metamorphopsia centrally od. Normal os.
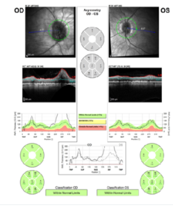
VA 6/9.6cc PH 6/7.5 od 6/6cc os CP 7/7 ou, pupils 3mm ou in light 4mm ou in dark. Small right RAPD. Fundoscopy: grade 2 disc swelling od normal os. Full eye movements, orthophoric in all gaze positions.
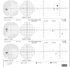
HVF: 30-2: enlarged blind spot od normal os
Autoflorescence –ve for drusen
9Feb2017: LP opening pressure 21cmCSF. <1 leucocytes, <1 erythrocytes protein 0.48, glucose 3.3 no organisms, no malignant cells
14May18 LP opening pressure 20cmCSF: leucocytes 4 rbc 1 protein 0.44 glucose 3.1. Cytology negative
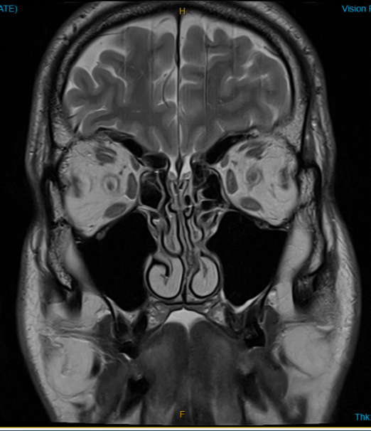
MRI brain and orbits x 5 normal. 2017 2018 2018 2024 2025: prominence of the left optic nerve sheath
Presumptive diagnosis from my colleague was unilateral papilledema. Tried diamox 250mg Feb2017 qid but caused renal impairment egfr 69 down to 55.
Overall diamox seems to be able to reduce the RNFL.
Diamox was ceased and disc swelling recurred and had Optic nerve sheath fenestration 25Sep2018 od The oculoplastics surgeon states when he cut into the sheath – CSF flowed freely like 'Niagra falls'.

17May18 (pre ONSF) OCT RNFL 125um od 100 um os 6Nov18 Post ONSF OCT RNFL 93 um od 107um os
25Nov2024 OCT RNFL 172um od 102um os
7Jan25 MRI – Hypoplasia of the left transverse sigmoid sinus with possible narrowing at the right sigmoid transverse junction. Flattening of the posterior sclera right >left . Has moderate fluid within the optic nerve sheath,.